昨日は
べべちゃんのおしっこの所からちょっと膿が出ていたので、獣医さんで膿をとって培養してもらっています。
たぶん、おしっこの時に地面についてしまうことによって膣炎になってしまったのかも?とのことで、膀胱炎とかにはなっていない感じです(良かった!)
培養の結果をみて、飲む抗生剤が決まります。
....【後日記】菌はいなかったということで、お薬はなしで様子見となりました。
べべちゃんは「好きにしたらー(@ ̄* ̄@)」と投げやり(笑)
体重はお洋服を着たままで22.12キロ♪
ごはんの量を増やした(手作り+i/dドライをふやかしたもの)が功を奏したのか1月19日より800gも増えました\(^O^)/
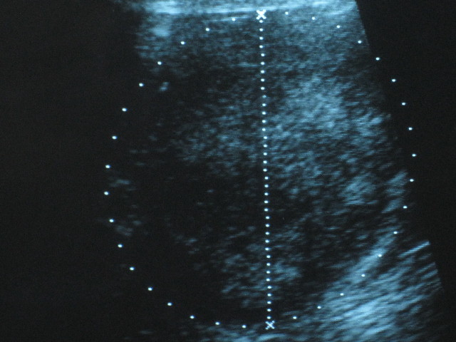
ついでに、エコーでバブちゃん(腎臓の腫瘍)も診てもらいました。
縦横ともに4.6cmくらいとのことで1月6日からはほとんど大きくなっていませんが
発見時の2011年9月26日は3×3.5cmくらいだったので、それと比べると4ケ月で直径が1cmちょっと大きくなってしまっています(;>_<;)
(測り方や、測る場所や、測る先生によっても違ってくるので一概にはいえませんが...)
ちなみに2011年12月5日は3.9×4.0cmくらいだったので、約2ケ月で0.6cmくらい大きくなってしまったことになります。
べべちゃんは「...っていうかぁ、何ミリ大きくなったとかそんなことどーでもいいから、おやつちょーだいU^ェ^U」と明るく迫ってきてくれるので、
ママもしょげないで頑張ろうと思います。
べべちゃんこんなに元気なんだからきっと大丈夫!