今日はべべちゃんの定期健診の日でした。
(シニアさんなので月に1度は血液検査などするようにしています)
いやそうだけど、されるがままのべべちゃん(笑)

べべちゃん体重は27.26キロ。
たくさん食べるけど、おばあちゃんになったからか痩せ気味。
●血液検査は
○白血球が15400(正常値6000-15000)とめずらしく少し高いので様子見。
○赤血球数5.20(正常5.5-8.8)とちょっぴり低いけど年齢からしたら問題なし。
○総蛋白7.3(正常値50.-7.1)と少し高め。
○GGT12(正常値10以下)
○総コレステロール(正常値70-150)
その他は全て正常値内で、14歳7ケ月の子にしたらかなり優秀(^_-)-☆
●お口の中の線維肉腫手術あともチェック=大丈夫だよ〜ん(^^)v
●肛門嚢腺癌の手術跡も肛門に指を入れてチェック=こちらも大丈夫(^^)v
お尻に指を入れられて、へんなお顔のべべちゃん( ̄。 ̄;)

●以前から何回か見てもらっている鼻の黒いシミみたいなのもまたチェック=メラノーマとかじゃなくてただの色素沈着だから大丈夫(^^)v
きゃっちゃんはこんな感じのが鼻とマズルの境目にできて、それがメラノーマだったんだけど、すぐに局所麻酔でとって、その後大丈夫だったんだよp(`ー´)q
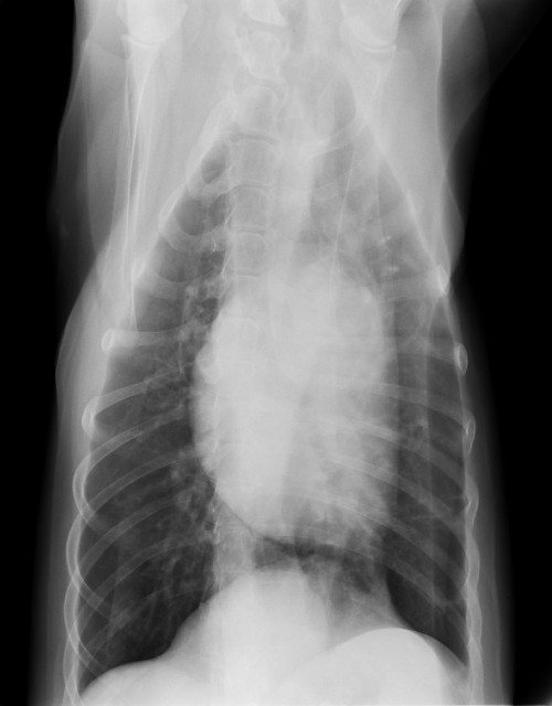
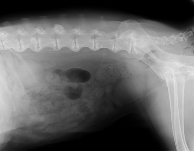
●レントゲンも3枚(胸・腰)撮りました。
うちの獣医さん、この秋にレントゲンをデジタル化したの。
だから、画像をCDに落としてもらえるようになったんだよヽ(*'0'*)ツ
キレイだからべべちゃんの“ヌード”3枚見てね。

診断としては、内臓関係は肺以外みんなOK(^^)v
肺は、べべは6歳半でうちに帰ってきた時にすでにフィラリアに罹っていて、肺に成虫が達していて、それを治療した残骸がある?し、フィラリアの影響か?肺のあちこちが石灰化してるの(前から)

背骨は変形性脊椎症であちこちブリッジにはなっているけど、これからも関節サプリ/アースリスージゴールドやマッサージやレーザーで手当てしてあげながら上手く着きあっていけば大丈夫♪
意図せずおばあちゃんになって筋肉が落ちて体重が軽くなったのは、足腰の為には幸いしてるのかもね。

年が明けたら、次回はエコーをしてもらうことにしました。
べべちゃんにはまだまだ頑張ってもらうよー(*゚Ω゚)/ウィッス!!